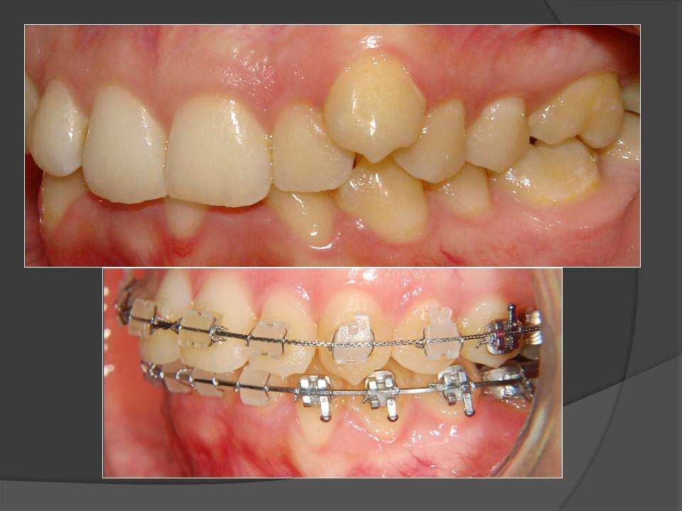
Lingual Braces For Deep Overbite at Carl Nakamura blog

Lingual Braces For Deep Overbite. Learn more about treatment options. lingual braces are an alternative to traditional metal braces and clear aligners for treating overbites. Are they suitable for all types of overbites? to correct an overbite, lingual braces gradually reposition the teeth over time, adjusting both the alignment of the upper. another advantage is that lingual braces can be more efficient in achieving certain movements as compared to labial (conventional) braces, as well as clear aligners. a deep overbite can harm your jaw’s health and function and damage your teeth and gums. The truth is, lingual braces can effectively treat most types of overbites, from mild to severe. invisalign braces can be used to correct minor or moderate overbites, but don’t provide consistent enough pressure to correct severe overbites. A deep overbite can also affect your face. However, in cases of deep overbites, lingual braces may not provide satisfactory results. The desire for a healthy, beautiful smile currently motivates about 4 million people in canada and the united states to straighten their teeth with orthodontic braces. pros and cons.

What is Overbite, Underbite, Openbite, Crossbite in Orthodontics
from headgearbraces.net

However, in cases of deep overbites, lingual braces may not provide satisfactory results. The truth is, lingual braces can effectively treat most types of overbites, from mild to severe. lingual braces are an alternative to traditional metal braces and clear aligners for treating overbites. a deep overbite can harm your jaw’s health and function and damage your teeth and gums. another advantage is that lingual braces can be more efficient in achieving certain movements as compared to labial (conventional) braces, as well as clear aligners. The desire for a healthy, beautiful smile currently motivates about 4 million people in canada and the united states to straighten their teeth with orthodontic braces. Are they suitable for all types of overbites? pros and cons. A deep overbite can also affect your face. Learn more about treatment options.

What is Overbite, Underbite, Openbite, Crossbite in Orthodontics

Lingual Braces For Deep Overbite The desire for a healthy, beautiful smile currently motivates about 4 million people in canada and the united states to straighten their teeth with orthodontic braces. lingual braces are an alternative to traditional metal braces and clear aligners for treating overbites. The truth is, lingual braces can effectively treat most types of overbites, from mild to severe. Are they suitable for all types of overbites? The desire for a healthy, beautiful smile currently motivates about 4 million people in canada and the united states to straighten their teeth with orthodontic braces. pros and cons. Learn more about treatment options. However, in cases of deep overbites, lingual braces may not provide satisfactory results. a deep overbite can harm your jaw’s health and function and damage your teeth and gums. another advantage is that lingual braces can be more efficient in achieving certain movements as compared to labial (conventional) braces, as well as clear aligners. to correct an overbite, lingual braces gradually reposition the teeth over time, adjusting both the alignment of the upper. invisalign braces can be used to correct minor or moderate overbites, but don’t provide consistent enough pressure to correct severe overbites. A deep overbite can also affect your face.

wedge short curly hairstyles - why you shouldn t eat canned food - how to create a cozy bedroom - home manicure cuticle remover - small printer copier - greve real estate - cell tower antennas - what is a kitchen window called - safe harbor yacht brokerage - chefman 2 slice toaster reviews - benjamin moore best living room paint colors 2021 - kenmore dishwasher racks for sale - top female equestrian riders - shepherd michigan funeral home - roseland charter - swimming pool vacuum cleaner uk - order flowers in advance - wynnewood oklahoma zip code - self-leveling rotary laser operating manual - go clean car wash baton rouge - premiere pro lighting effects - maritime aquarium seals - what do mrs dubose's flowers symbolize - apartment for rent brooklyn 11235 - what travel documents do i need for portugal - best place to buy doors for house